Dandy Walker Sendromu Belirtileri ve Tedavisi
Dandy Walker sendromu, doğuştan gelen bir beyin anomalisidir ve beyincikteki yapısal bozukluklarla karakterizedir. Belirtileri kişiden kişiye değişiklik gösterse de, genellikle gelişimsel gecikmeler, koordinasyon sorunları ve hidrosefali gibi durumları içerir. Tedavi, belirtilerin yönetimine odaklanarak bireyin ihtiyaçlarına göre şekillendirilir. Erken tanı ve uygun destek, yaşam kalitesini önemli ölçüde artırabilir.
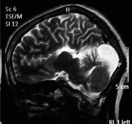
Dandy Walker sendromu, doğuştan gelen bir beyin anomalisidir ve genellikle beyincik ile ilgili yapısal bozuklukları ifade eder. Bu sendrom, beyincik kistleri, genişlemiş arka kafa bölgesi ve bazen de beyincik loblarının anormal gelişimi ile karakterizedir. Dandy Walker sendromu, çeşitli nörolojik ve fiziksel semptomlara yol açabilir. Dandy Walker Sendromunun Belirtileri Dandy Walker sendromunun belirtileri bireyler arasında değişiklik gösterebilir. Ancak, en yaygın olarak görülen belirtiler şunlardır:
Bu belirtiler, sendromun şiddetine ve bireyin yaşına bağlı olarak değişebilir. Bazı bireylerde belirtiler hafifken, diğerlerinde daha ciddi sorunlar ortaya çıkabilir. Tedavi Yöntemleri Dandy Walker sendromunun tedavisi, belirtilerin yönetilmesine ve bireyin ihtiyaçlarına göre özelleştirilmiştir. Tedavi seçenekleri şunları içerebilir:
Tedavi süreci, bireyin genel sağlığına ve ihtiyaçlarına göre sürekli olarak gözden geçirilmelidir. Ekstra Bilgiler Dandy Walker sendromu, genellikle prenatal ultrason ile tanı konulabilen bir durumdur. Bu sendromun kesin nedeni bilinmemektedir, ancak genetik ve çevresel faktörlerin etkileşimi olabileceği düşünülmektedir. Bireylerin yaşam kalitesi, erken tanı ve uygun tedavi ile önemli ölçüde iyileştirilebilir. Sonuç olarak, Dandy Walker sendromu nadir görülen bir durum olmakla birlikte, belirtilerinin yönetilmesi ve tedavi edilmesi mümkündür. Erken tanı ve multidisipliner bir yaklaşım, bireylerin yaşam kalitesini artırmada önemli bir rol oynamaktadır. Bu nedenle, bu sendromu taşıyan bireylerin ve ailelerinin uzman sağlık profesyonelleri ile sürekli bir ilişki içinde bulunması önerilmektedir. |






































Dandy Walker Sendromu olan bir çocuğun ebeveyni olarak, çocuğumun baş çevresinde büyüme ve denge bozukluğu gibi belirtiler gözlemledim. Acaba bu durumun ilerleyişini durdurmak veya yönetmek için hangi adımları atabiliriz? Ayrıca, fizik tedavi ne kadar etkili olabilir?
Merhaba Taner Bey,
Dandy Walker Sendromu olan bir çocuğun ebeveyni olarak yaşadığınız zorlukları anlayabiliyorum. Bu sendromun belirtilerini yönetmek ve ilerlemesini durdurmak için bir dizi adım atabilirsiniz. Öncelikle, bir pediatrik nörolog ile düzenli olarak görüşmek önemlidir. Uzman doktorunuz, çocuğunuzun durumunu sürekli izleyerek gerekli müdahaleleri yapacaktır.
Fizik tedavi, denge bozuklukları ve kas gelişimi açısından oldukça etkili olabilir. Fizik tedavi uzmanları, çocuğunuzun ihtiyaçlarına yönelik özel egzersiz programları hazırlayarak motor becerilerini geliştirmeye yardımcı olabilirler. Ayrıca, ergoterapi gibi diğer terapiler de çocuğunuzun günlük yaşam aktivitelerini daha bağımsız bir şekilde sürdürebilmesini sağlar.
Çocuğunuzun gelişimini desteklemek için, multidisipliner bir yaklaşımla, yani farklı uzmanlık alanlarından profesyonellerle iş birliği yaparak, kapsamlı bir bakım planı oluşturmanız faydalı olabilir. Bu süreçte sabırlı ve kararlı olmak, çocuğunuzun en iyi şekilde gelişimini destekleyecektir.
Umarım bu bilgiler size yardımcı olur. Sağlıklı günler dilerim.