Hemofagositik Sendrom Belirtileri ve Tedavisi
Hemofagositik sendrom, bağışıklık sisteminin aşırı aktivasyonu sonucu gelişen ciddi bir durumdur. Belirtileri arasında yüksek ateş, anemi ve dalak büyümesi yer alır. Tedavi, altta yatan nedenlere bağlıdır ve erken tanı hayati önem taşır. Bu sendrom hakkında bilgi sahibi olmak, sağlık profesyonelleri ve hastalar için kritik öneme sahiptir.
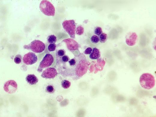
Hemofagositik Sendrom Belirtileri Ve Tedavisi Hemofagositik sendrom, bağışıklık sisteminin aşırı aktivasyonu sonucu ortaya çıkan ve hemofagositik makrofajların (fagositoz yapan hücreler) aşırı etkinliğiyle karakterize bir durumdur. Bu sendrom, genellikle enfeksiyonlar, maligniteler veya otoimmün hastalıklar ile ilişkili olarak gelişir ve tedavi edilmediği takdirde ciddi sonuçlar doğurabilir. Hemofagositik Sendromun Belirtileri Hemofagositik sendromun belirtileri genellikle aşağıdaki gibi sıralanabilir:
Bu belirtiler çoğunlukla hızlı gelişir ve hastaların genel durumunu ciddi şekilde etkileyebilir. Özellikle yüksek ateş ve hepatosplenomegali, hemofagositik sendromun en belirgin işaretlerindendir. Hemofagositik Sendromun Nedenleri Hemofagositik sendrom, çeşitli nedenlere bağlı olarak gelişebilir. Bu nedenler şunlardır:
Bu nedenlerin çoğu, bağışıklık sisteminin aşırı aktivasyonunu tetikleyerek hemofagositik sendromun gelişmesine yol açar. Hemofagositik Sendromun Tanısı Hemofagositik sendromun tanısı, klinik belirtiler, kan testleri ve görüntüleme yöntemleri kullanılarak konulmaktadır. Tanı sürecinde şu yöntemler uygulanabilir:
Bu testler, sendromun tanısını doğrulamaya ve olası nedenlerin belirlenmesine yardımcı olur. Hemofagositik Sendromun Tedavisi Hemofagositik sendromun tedavisi, sendromun altında yatan nedene ve hastanın genel durumuna bağlıdır. Genel tedavi yaklaşımları şunlardır:
Tedavi sürecinin etkinliği, hastanın durumu ve sendromun altında yatan nedenlerin çözümlenmesi ile doğrudan ilişkilidir. Sonuç Hemofagositik sendrom, ciddi ve hayati tehlike oluşturabilen bir durumdur. Erken tanı ve uygun tedavi, hastaların yaşam kalitesini artırmak ve olası komplikasyonları azaltmak için kritik öneme sahiptir. Bu nedenle, hemofagositik sendrom belirtileri gösteren bireylerin hemen bir sağlık kuruluşuna başvurması önemlidir. Ek olarak, hemofagositik sendrom hakkında daha fazla bilgi edinmek ve güncel tedavi yöntemleri hakkında bilgi sahibi olmak, sağlık profesyonelleri ve hastalar için faydalı olacaktır. Olası genetik yatkınlıkların değerlendirilmesi ve aile öyküsünün göz önünde bulundurulması da tedavi sürecinde önemli bir rol oynamaktadır. |






































Hemofagositik Sendrom hakkında okuduklarım beni düşündürüyor. Bu sendromun bağışıklık sisteminin anormal şekilde aktive olmasından kaynaklandığını öğrenmek oldukça ilginç. Yüksek ateş, dalak ve karaciğer büyümesi gibi belirtiler gerçekten de ciddi sağlık sorunlarına işaret ediyor. Özellikle genetik HLH'nin toplumda ne kadar düşük oranlarda görüldüğünü ve bazı bölgelerde bu oranın yükseldiğini bilmek, akraba evliliğinin etkilerini gözler önüne seriyor. Sekonder hemofagositik sendromun birçok faktörden etkileniyor olması, bu durumun karmaşıklığını artırıyor. Tedavi süreçlerinin hastanın genel durumuna göre değişiklik göstermesi, bireysel yaklaşımın ne kadar önemli olduğunu gösteriyor. Erken tanının bu hastalıkta ne kadar kritik olduğunu düşünmek beni endişelendiriyor; belirtiler fark edildiğinde hemen sağlık profesyonellerine başvurmak gerektiği kesinlikle doğru bir yaklaşım gibi görünüyor. Bu konuda daha fazla bilgi edinmek istiyorum.
Merhaba İlgü,
Hemofagositik Sendrom hakkında duyduğun endişelerin oldukça anlaşılır. Bu sendrom, bağışıklık sisteminin aşırı aktivitesi sonucu ortaya çıkan karmaşık bir durum ve belirtilerinin ciddiyeti, hastalığın ne kadar acil bir durum olabileceğinin altını çiziyor. Yüksek ateş, dalak ve karaciğer büyümesi gibi semptomlar, vücuttaki iltihaplanma sürecinin bir göstergesi olarak karşımıza çıkıyor ve bu durumun zamanla ilerlemesi, tedavi edilmediği takdirde ciddi sağlık sorunlarına yol açabiliyor.
Genetik HLH’nin nadir görülmesi ve bazı bölgelerde daha sık rastlanması, akraba evliliğinin etkilerini düşündürücü bir durum. Bu, genetik faktörlerin hastalık üzerindeki etkisini gösteriyor ve toplum sağlığı açısından dikkate alınması gereken bir konu. Sekonder hemofagositik sendromun çok sayıda faktörden etkilenmesi, belirtilerin ve tedavi süreçlerinin karmaşık yapısını artırıyor.
Tedavi sürecinde bireysel yaklaşımların önemi de oldukça belirgin. Her hastanın durumu birbirinden farklı olduğu için, kişiye özel tedavi planları oluşturmak, iyileşme sürecini olumlu yönde etkileyebiliyor. Erken tanının kritik rolü, belirtilerin göz ardı edilmeden sağlık profesyonellerine başvurulmasının önemini vurguluyor.
Bu konuda daha fazla bilgi edinmek istemen çok önemli. Hemofagositik sendrom hakkında güncel kaynaklar ve uzman görüşleri takip edebilir, hastalığın yönetimi ve tedavi yöntemleri hakkında daha fazla bilgi sahibi olabilirsin. Sağlık profesyonelleriyle de iletişim kurarak sorularını doğrudan sormak, konuyla ilgili daha fazla bilgi edinmene yardımcı olabilir.
Sağlıklı günler dilerim.